Ein
weiterer
Vorteil
von
Implantaten
ist,
dass
bei
Zahnlücken,
die
klassisch
durch
eine
Brücke
versorgt
werden,
gesunde
Nachbarzähne
nicht
mehr
als
Brückenpfeiler
beschliffen
werden
müssen.
Damit
kann
die
gesunde
Zahnsubstanz
geschont
werden.
Das
Setzen
der
Implantate
ist
ein
kleinerer
operativer
Eingriff.
Allerdings
sind
die
Erfahrung
und
das
präzise
Arbeiten
des
Operateurs
sehr
wichtig,
damit
die
Implantate
später
den
Kaudruck
richtig
auf
den
Kieferknochen
übertragen,
sich
nicht
vorzeitig lockern und das Gebiß schädigen.
Nach
entsprechender
Vorbereitung
-
ggf.
Knochenneuaufbau
eines
bereits
geschwächten
Kieferkamms
-
werden
die
Implantate
in
den
Kieferknochen
eingesetzt.
Nach
einer
Einheilzeit
von
3
bis
6
Monaten,
in
der
der
Kieferknochen
in
die
Mikrostrukturen
des
Implantats
einwächst,
kann
das
Implantat
belastet
und
der
geplante
Zahnersatz
angefertigt
und
auf
ihm
befestigt werden.
Eine
gute
Mundhygiene
und
regelmäßige
Kontrollen
in
der
Zahnarztpraxis
garantieren
Ihnen
lange
Haltbarkeit
und
Freude an Ihrem Zahnersatz.
Wesentliche Vorteile der Implantate sind:
•
Hoher Tragekomfort; Kein Fremdkörpergefühl im Mund durch grazileren Zahnersatz (wie natürliche Zähne)
•
Verbessertes Eß-, Kau und Sprechgefühl
•
Besseres Geschmacksempfinden durch Vermeidung der breiten Gaumenauflage von Prothesen
•
Mehr
Sicherheit
in
der
Öffentlichkeit
durch
den
festen
Sitz
und
verbesserte
Ästhetik
-
besonders
im
Frontzahnbereich.
Es
ist
nicht
erkennbar,
daß
Sie
Zahnersatz
tragen.
Die
Implantate
unterstützen
dadurch
Ihre
natürliche
Ausstrahlung
und Persönlichkeit.
(zum Vergrößern Bilder anklicken)
Situation vorher (Brückenanhänger,
abnehmbar mit Geschiebe, ist bereits
entfernt)
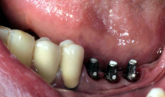
Implantate mit Aufbau für Kronen
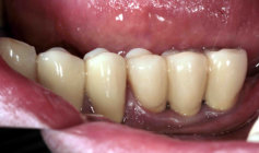
mit Kronen versorgte Implantate